
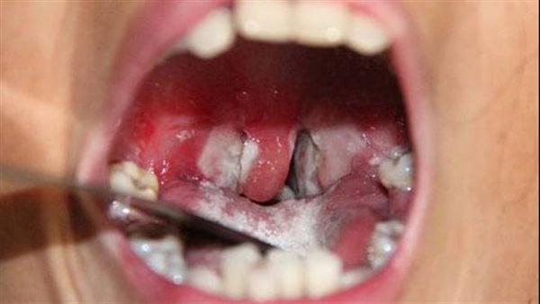
أفادت مصادر محلية في بلدية تناها التابعة لمقاطعة كنكوصه بولاية لعصابة، بوفاة سبعة أشخاص وإصابة أكثر من 70 آخرين بمرض يُرجّح أنه الدفتيريا.
وقال عمدة البلدية بوبكر ولد محمد محمود إن السلطات المحلية اتخذت إجراءات احترازية عاجلة، من بينها إغلاق الأسواق الأسبوعية ووقف الأنشطة التي تشهد ازدحامًا سكانيًا، في إطار الحد من انتشار العدوى.
وأكد العمدة أن الوضع الصحي تحت السيطرة بحسب الجهات الطبية المختصة، مشيرًا إلى أن البلدية نظّمت حملات توعوية للتنبيه إلى خطورة المرض وطرق الوقاية منه.
كما أوضح أن الأيام الأخيرة لم تشهد تسجيل أي إصابات جديدة، وأن العديد من المرضى الذين تلقّوا العلاج تماثلوا للشفاء.
